Caesarean section (CS) is a commonly performed surgical procedure for fetal delivery and may be planned antenatally or undertaken after the onset of labor when clinically indicated. Although generally safe, CS is associated with postoperative complications, one of which is postoperative ileus. Postoperative ileus affects the entire intestine, with recovery occurring at different rates: small intestinal function typically returns within 24 hours, gastric activity within 24–48 hours, and colonic peristalsis may be delayed for up to 72 hours after surgery. Acute colonic pseudo-obstruction, a rare form of postoperative ileus characterized by marked colonic dilatation without mechanical obstruction, has been infrequently reported following cesarean delivery in recent literature. Delayed diagnosis or inappropriate management may result in serious complications, including cecal ischemia or colonic perforation. This article reports four cases of postoperative ileus following cesarean section and provides a concise review of the relevant literature. Key clinical aspects are summarized, including proposed pathophysiological mechanisms, clinical presentation, diagnostic considerations, differential diagnosis, and management strategies. Emphasis is placed on early recognition and timely intervention to reduce morbidity, prevent severe complications, and shorten the duration and severity of the condition.
Caesarean section (cesarean delivery) is a surgical procedure used to deliver a fetus by making an incision in the abdomen and uterus, and a cesarean delivery can be planned early in pregnancy if you have had pregnancy complications or have had a cesarean delivery previously and are not considering a vaginal delivery after a cesarean section (VBAC) However, the first time a caesarean is often not needed until labor has occurred [1].
Although the postoperative ileus affects all parts In the intestine, the colon takes longer to recover Small intestine function generally returns within 24 hours, The stomach returns to normal within 24-48 hours Colon peristalsis may not return until 72 hours After surgery. Acute pseudo-colic obstruction is a type of ileus, characterized by a colossal colic breadth. Detailed information and x-rays acute glandular ileus and acute pseudo-colitis that occurs after a cesarean section (CS) It is rarely reported in recent literature [2]. If Not immediately recognized or appropriately managed, Acute false colonic obstruction may lead to cecum Or a ruptured colon. 2,3 Here, 4 cases of postoperative ileus were reported with a summary of the main clinical points mentioned In related articles, including the pathogenesis of presumed disease, Symptoms / signs, differential diagnosis, and treatment Ways to reduce severity or duration condition. Sometimes a cesarean delivery is safer than a vaginal birth. health care provider may recommend a cesarean delivery if [3-6]:
If the labor is not progressing. Stopping labor is one of the most common reasons for a cesarean delivery
The cervix may not open enough despite strong contractions that occur over several hours.
If the fetus is not getting enough oxygen If the healthcare provider is concerned about the change in your fetus's heartbeat, a cesarean delivery may be the best option.
If the fetus or fetuses are in an abnormal position, a cesarean delivery may be the safest method for the delivery of the fetus if its feet or elbow are inside the birth canal in the front (breech position) or if the fetus takes a lateral position, or the fetus’s shoulder is in the front (transverse position) [7].
If pregnant with twins, a cesarean delivery may be necessary if you are pregnant with twins and the first child is in an abnormal position, or if you are pregnant with three or more babies.
If there is a problem with the placenta If the placenta covers the opening of the cervix a cesarean delivery may be the safest way to deliver a fetus [8].
If there is a problem with the umbilical cord, a cesarean delivery may be recommended if a loop of the umbilical cord slides through the cervix.
If there are health problems, a cesarean delivery may be recommended if you have a severe health problem. Such as: heart or brain problems, and a cesarean delivery may also be recommended if you have an active genital herpes infection during labor [9].
In the event of a mechanical obstruction if there is a large fibroid blocking the birth canal, a severely displaced fracture of the pelvis, or your child has acute hydrocephalus; It is a condition that can make the head unusually large.
If had a previous cesarean delivery based on the type of uterine incision and other factors, a vaginal birth can often be attempted after a previous caesarean section. In some cases, a health care provider may recommend a repeat cesarean delivery [10].
Types of Cesarean Delivery
There are Two Basic Types of this Surgery, Depending on the Type of Incision
The traditional incision (vertical upper incision) is performed in the center of the abdomen
The lower incision, which is a smaller and lower incision in relation to the vertical slit, is the most used today.
Caesarean delivery is commonly categorized into elective and emergency surgeries and Emergency surgeries are surgeries that have not been planned in advance, and are often performed because of complications during the birth process (labor does not advance as it should, or the fetus’s heart rate is slow and Preparing for this surgery includes local anesthesia, which is called epidural anesthesia or spinal anesthesia. Anesthesia is given immediately before surgery, by inserting a needle into the spinal cord with the aim of relieving pain and dampening feeling in the pelvic area and below and If the pregnant woman is in good health, there is no need for any tests before the operation, In some cases, the patient is required to undergo tests for a complete blood count and / or blood clotting function.
Complications of this Surgery
A cesarean area is a surgery that includes making an entry point in the mid-region and uterus to eliminate the infant. At that point the cut is shut with clinical stitches. This injury sets aside some effort to recuperate, might be delicate to the touch for about fourteen days thereafter, and treated with bed rest is significant after a cesarean might be endorsed torment medicine just as anti-microbial to accelerate the mending cycle. Gas development and stoppage can demolish the agony by expanding tension on the join and can dodge this by eating at a sluggish speed, evading food with solid flavors and remaining hydrated [11].
Postpartum discharge Bleeding is normal during and after labor, yet on the off chance that there is an enormous hop in volume, it considers a baby blues drain. This condition is quite possibly the most widely recognized reasons for death during and after labor. Baby blues discharge is seen in around one of every fifty births, particularly if the work was delayed or if there were numerous births (twins, trios, and so on) For this situation, the cervix or uterus may crack, which may harm the placenta, and subsequently increment blood misfortune. What's more, manage it There are numerous approaches to treat baby blues discharge. For instance, can play out an uterine back rub, hoist your legs over the situation of the heart, and backing breathing with breathing devices. A few medications are likewise accessible, for example, methergine and hem abate, yet on the off chance that these medications don't give any impact, medical procedure might be finished [12].
Kidney diseases happen if pathogenic microscopic organisms enter the cervix from the urinary bladder. The indications that are seen for this situation are expanded pee, a steady need to pee, fever, disquietude, lower back torment, trouble peeing and stoppage, managing them if a kidney contamination is analyzed, the primary treatment incorporates intravenous or oral anti-toxins. Besides, you might be needed to drink many liquids to keep up hydration levels and pee-screening tests are likewise essential during and toward the finish of the treatment routine [13].
Discharge from the vagina Lochia is a normal result half a month after birth. Lochia, which comprises of placenta sections, vaginal liquid and blood clusters, will in general turn red for the principal week, at that point gradually turning pink, yellow and white after some time.
Since this is an inescapable wonder, the lone activity is trust that purging will stop and lochia discharge during breastfeeding and exercise, yet it will in general diminish in size before it stops totally
Mastitis is an infection of the breast. Symptoms include tender red spots on the breast, nausea, fever, headache and cold. Mastitis is caused by bacteria and is exacerbated by decreased immunity as a result of the stress of childbirth and can cause cracking of the nipples as a result of overfeeding inflammation. Deal with it A doctor must diagnose mastitis and then prescribe antibiotics such as cephalexin and dicloxacillin. Fortunately, breastfeeding is not affected by the infection and can continue. To relieve pain, alternating hot and cold treatments on painful areas is also important to wear during this time to prevent any friction or a build-up of sweat.
Rectal, uterine, or bladder prolapse is when an organ slips out of place. A difficult pregnancy or multiple births can cause rectal, uterine or bladder prolapse. Symptoms of uterine and rectal prolapse include a feeling of tightness in the abdomen, severe discomfort, and difficulty urinating or defecating. Dealing with it if the prolapse is mild, your doctor will suggest losing extra weight Pelvic exercises can also help strengthen the pelvic muscles and in some severe cases, surgery may be necessary to reposition the descending organ [14].
Bowel problems: A cesarean delivery can slow down the process of removing waste from the body for several days, weeks, or even months after a cesarean delivery. This is an annoying problem, but its symptoms will fade over time, but if the constipation is severe and persistent
Case Report
If the woman was 34 years old, she had two cesarean delivery trials and she underwent a bilateral CS Ligation of the fallopian tubes and dislocation of the adhesion of the pelvis under spinal anesthesia at 37 weeks of pregnancy, followed by a large uterine bleeding of 2500 ml, which occurs through several reasons including atony of the uterus and discomfort of the placenta, which causes several problems, including a reduction in the amount of blood pressure packed red blood cells ( 2000 ml) and 4 units of fresh frozen plasma (FFP) were given. Meperidine was administered for pain relief after surgery, this was followed by a large swelling in the abdomen with stomach cramps and increased heart rate.
The results were shown when performing the examination: tympanitic abdomen hypoactive bowel sounds and diffuse tenderness.
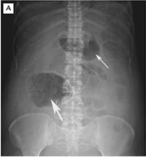
Large stomach distention shown in Figure 1
Administering erythrocytes (1000 ml) and FFP (2 units) and then the patient underwent percutaneous bilateral embolism via catheterization of the internal iliac arteries using coils on the postoperative day.
Case 2
A 30-year-old pregnant lady had a background marked by serious stoppage. went through CS with spinal sedation at 39 weeks of development as a result of delayed second stage (cervical completion for 3 hours, station + 2). Enormous uterine seeping (around 3,000 mL) happened because of a profound gash from the uterine entry point twisted into her uterine cervix, prompting insecure hemodynamic status and regurgitating during the activity. Stuffed RBC (2,500 mL) and FFP (6 units) were given. No intra-stomach draining was recognizable after conclusion of the uterine cut and gash wound. Nonetheless, baby blues vaginal dying Meperidine has been used for pain relief after surgery. However, flatulence with cramping pain and vomiting occurred the next day of surgery 2. Hypoactive bowel sounds but not pain reflux.
Case 3
A 28-year-elderly person, with pessimistic RhD and a background marked by clogging, experienced intense antepartum drain (> 1,500 mL inside 20 minutes) at 32+5 long stretches of incubation, bringing about unsteady hemodynamic status. CS under broad sedation was performed right away All out hysterectomy and respective ligation of inward iliac conduits were then proceeded as back placenta increate was by chance found during the activity. The patient got 3,000 mL of pressed

Figure 1: Large Stomach Distention

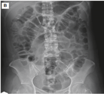
Figure 2: Abdominal X-ray Showing Ileus

Figure 3: Colonic Gaseous Dilatation
RBC and 10 units of FFP, including 2,000mL ofRhD-positive packed RBC as a result of lack of stored RhD-negative RBC
Many women suffer from digestive problems after a cesarean delivery, as the digestive system stops working during the operation. Therefore, it may take some time to function and return to normal. May suffer from bloating and feel pain when the gas is released may also become constipated after childbirth. You may feel some stomach pain due to pregnancy problems such as heartburn and others, and then give birth after that Infection is one of the most common complications of any surgery, so any woman can develop an infection in the abdomen, at the site of the wound, or in the womb after a cesarean delivery. Signs of infection include a high temperature of more than 38 ° C, severe pain in the abdomen, and redness or swelling at the site of the wound. And if you become infected, God forbid, and your doctor prescribes some antibiotics to treat them, do not stop using them until the entire course of treatment is completed. Although the bladder is rarely infected or transmitted after a cesarean delivery, it may occur due to the presence of the bladder in the abdomen near the uterus in what is called a "urinary tract" infection. To reduce the risk of infection with this infection, you must drink plenty of water and empty the bladder first Powell Cesarean delivery can cause scarring at the site of the suturing of the wound or the incision made in the abdomen to expel the fetus, and the length of the wound is usually between 10-15 cm, depending on what the doctor deems appropriate for the removal of the newborn, and usually the scar or the effects of Abdominal cesarean delivery is one of two types; Hypertrophic scar or keloid scar, and the difference between them is that the hypertrophic scar is formed when the wound heals quickly, and it is thick. And beyond that region.
It is worth noting that the scars resulting from a cesarean delivery may cause itching, and the woman is advised not to scratch or scratch it in order to avoid suffering from bacterial infection, in addition to the need to keep the place of the wound clean and dry, and in fact it may take several months for the effects or scars of cesarean sections to heal Complete, and the time it takes to heal the scar depends on the woman's nutrition, exposure to infection, and general health for her, and in the meantime it is also advised not to wear clothes that put pressure on the site of scarring to allow her to heal properly Caesarean delivery rarely causes harm to the fetus, but it can happen, including: Exposure to the skin of the fetus, which is usually slight and heals quickly, and to face problems at the level of breathing, especially if the woman gives birth before the thirty-ninth week.
It differs in its procedures from natural childbirth, which is known to be completed with the exit of the child from the vagina, as for cesarean section, which is in which the abdomen is surgically opened to remove the child, in general it can be said that a cesarean delivery is a necessary procedure in some cases such as cases of twins, or medical cases It is more likely to give birth before the appointment and before the completion of the nine months, but like any surgery or procedure, it has many dangerous possibilities.
One of the most prominent harms of a cesarean delivery to the child is that it may cause a superficial wound to his skin at birth, as well as problems and breathing difficulties for him, especially for those who are born early before their appointment, which requires follow-up in the hospital even after the baby leaves home,And researchers at Harvard University found that females born by cesarean section have an 11% risk of obesity and a 46% risk of type 2 diabetes, and the researchers say this may be due to differences in the type of microbes that newborns are exposed to naturally in their mothers' birth canal. The results, not only on high-risk cesarean deliveries, but also on mothers in low-risk groups, included a study of 33,000 women aged between 24 and 44 years, and the Harvard team did not examine the effect of a cesarean delivery on men, making them unable to determine whether the effect would be. Likewise, study author Jorge Chavarro of the Harvard Institute of Public Health in Boston said his team found a link between a cesarean delivery and diabetes.
Gut bacteria can moderate chronic inflammation, so changes in the gut microbiome can be linked to lipid and glucose metabolism, which is responsible for obesity and type 2 diabetes in adults. It is noteworthy that babies born through natural birth are rapidly colonized by microbes from the birth canal. In contrast, those born by cesarean section are colonized by environmental microbes, and they do not have access to a wider range of maternal microbes and as a result, newborns who Those born by cesarean section possess the gut bacteria that are less diverse, particularly those that have been shown to protect against obesity.
Childbirth in general is one of the difficult matters that women face throughout life, whether it is natural childbirth or cesarean delivery, and if the pain of natural childbirth is severe, recovery after cesarean delivery is much more difficult. Women who undergo a cesarean delivery may face a set of difficulties after childbirth, including the effects of short delivery, which may give an unaesthetic view of the abdomen, so the woman always looks for it. There are a set of methods that help you remove the impact of a cesarean delivery from the abdomen and return to its natural shape. It helped you a lot in recovering from a short birth, because a cesarean delivery can leave scars on the skin, such as changing its color, where the doctor makes an opening (incision) About six inches long and leads to long scars and the skin appears thicker and often there is no treatment to help you restore your skin again, but home remedies are the most effective solution to improve the shape of the skin.
The precise mechanism of adynamic ileus remains unknown, although it is likely to be related in part to excessive parasympathetic suppression or sympathetic stimulation in the regulation of intestine motility.3,4 Intraoperative spillage of irritating substances, intestine manipulation, and the release of inflammatory mediators may affect the neuronal pathways of the intestine.1 Adynamic ileus has been associated with surgery (especially CS and hip surgery), cardiac failure, respiratory failure, opioid use, spinal anesthesia, neurological problems, infection, electrolyte imbalance, and stress that causes central secretion of corticotrophin-releasing factor (which, in turn, inhibits gut motility).1,3 From observations in this report, all 4 cases with adynamic ileus were associated with:
acute massive hemorrhage leading to unstable hemodynamic status, which may have caused transient poor blood supply to the intestine and colon as a result of shifting blood supply to vital organs;
severe constipation, which may have resulted in stool impaction, bowel dilatation, and exacerbation of poor bowel movement and Caesarean section is one of the oldest and most common surgeries.
It is carried out according to various indications, and today it can be planned or emergency This intervention is necessary, first of all, if the life of the mother and the child is in danger. As a rule, this occurs in 10-15% of cases. However, there is now a trend towards an increase in the frequency of this operation: in some countries, a cesarean section is performed by every second mother the main risk is that when a child is born in an abnormal way, he may later have certain health problems (for example, often What "Caesareans" suffer from immune diseases, including diabetes, allergies and celiac disease) Specialists continue to study the health risks to children born with surgery. One of them, it turns out, is associated with reduced germ diversity, the gut microbiota being the most diverse. It has evolved with humans for millions of years, and its formula plays an important role in the development of immunity, digestion and metabolism despite the fact that there have been intense discussions among doctors about performing a cesarean section for many years, the number of people who want to give birth in this way is increasing more and more Of course, sometimes, the decision to have a cesarean section is not a simple desire to preserve a good figure, but a necessary procedure to preserve the health of the mother and the child.
In a cesarean delivery, fetal fluid sometimes remains in the lungs, preventing the respiratory system from starting to full activity. This phenomenon is called fetal fluid retention syndrome. In healthy cesarean deliveries, the amniotic fluid can eventually be absorbed into the lung tissue. For babies whose bodies have weakened at the time of birth, fluids are retained and become a favorable environment for the development of infection.
Hypoxia, which persists for a long time and is frequently repeated, can cause the death of nerve cells. It can also occur mechanically, for example, due to the pressure of the airways by the umbilical cord. Also, hypoxia can occur due to the effect of painkillers, which are always used during the operation. Epidural anesthesia, resulting from the injection of a drug into a woman's spinal canal, is characterized by a decrease in the mother's blood pressure. This indicates that the normal blood circulation in the tissues of the placenta is also disrupted, and that the baby, still in the womb, stops receiving oxygen.
This is due to the fact that during the operation, the tissues that make up the internal organs of the abdominal cavity and small pelvis are damaged. Because of this, the tone of the muscle fibers decreases, which increases the likelihood of a prolapse (prolapse) of the walls of the vagina and uterus.
Agha R.A. et al. The SCARE 2018 statement: updating consensus Surgical CAse REport (SCARE) guidelines. International Journal of Surgery 60 (2018): 132–136.
Agha R.A. et al. The SCARE statement: consensus-based surgical case report guidelines. International Journal of Surgery 34 (2016): 180–186.
Agrusa A. et al. 3D laparoscopic surgery: a prospective clinical trial. Oncotarget 9.25 (2018): 17325.
Batke M., and Cappell M.S. Adynamic ileus and acute colonic pseudo-obstruction. Medical Clinics of North America 92.3 (2008): 649–670.
Betran A.P. et al. What is the optimal rate of caesarean section at population level? A systematic review of ecologic studies. Reproductive Health 12.1 (2015): 1–10.
Cucinella G. et al. Robotic versus laparoscopic sacrocolpopexy for apical prolapse: a case-control study. Il Giornale di Chirurgia 37.3 (2016): 113.
Cucinella G. et al. Endometrial cancer: robotic versus laparoscopic treatment. Preliminary report. GIOG 37 (November–December 2015): 283–287.
Laskin M.D., Tessler K., and Kives S. Cecal perforation due to paralytic ileus following primary caesarean section. Journal of Obstetrics and Gynaecology Canada 31.2 (2009): 167–171.
Lin Y.H., Kuo L.J., Chuang A.Y., Cheng T.I., and Hung C.F. Extrapelvic endometriosis complicated with colonic obstruction. Journal of the Chinese Medical Association 69.1 (2006): 47–50.
Maron D.J., and Fry R.D. New therapies in the treatment of postoperative ileus after gastrointestinal surgery. American Journal of Therapeutics 15.1 (2008): 59–65.
Ponec R.J., Saunders M.D., and Kimmey M.B. Neostigmine for the treatment of acute colonic pseudo-obstruction. New England Journal of Medicine 341.3 (1999): 137–141.
Saunders M.D. Acute colonic pseudo-obstruction. Best Practice & Research Clinical Gastroenterology 21.4 (2007): 671–687.
Traut U. et al. Systemic prokinetic pharmacologic treatment for postoperative adynamic ileus following abdominal surgery in adults. Cochrane Database of Systematic Reviews (2008): CD004930.
Tulandi T., Agdi M., Zarei A., Miner L., and Sikirica V. Adhesion development and morbidity after repeat cesarean delivery. American Journal of Obstetrics and Gynecology 201.1 (2009): 56–e1.